中國日報網環球在線消息:胚胎干細胞研究可謂是引發了最激烈倫理爭議的醫學研究之一。來自美國和日本的三個獨立科研小組日前宣稱,他們成功將實驗鼠的普通皮膚細胞轉化成了具備胚胎干細胞功能的新型細胞。這一干細胞領域的重大突破有望幫助科學家繞過倫理、道德紛爭,為治療性克隆掃清更多障礙。

自然生長的老鼠胚胎干細胞。

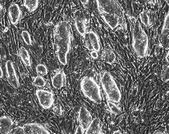
經過科學家的改造,老鼠的纖維原細胞具有了胚胎干細胞的相同特征和功能。
***皮膚細胞能轉化為“萬能細胞”
據美國全國廣播公司6月7日報道,美國哈佛干細胞研究所、馬薩諸塞州的懷特黑德生物醫學研究所和日本京都大學三個機構的研究人員分別進行了這項研究,并在日前出版的《干細胞》雜志和《自然》雜志網站上發表了類似的研究結果。
京都大學的神馬山中(Shinya
Yamanaka)曾在去年8月發表的研究報告中宣稱,向老鼠的一種名為“纖維原細胞”的皮膚細胞中植入4個新基因,并對細胞進行基因重新編排,能制出一種名為“iPS”的細胞,它具有類似胚胎干細胞的功能。
不過,研究者發現,最初制成的iPS細胞與被譽為“萬能細胞”的胚胎干細胞還存在很大差異,美、日三隊人馬隨后在此基礎上展開了一系列改進實驗。最終,他們各自都研制出了與胚胎干細胞幾乎完全相同的iPS細胞,它也可以分化成不同類型的組織細胞,甚至還能培育出活的老鼠。
美國紐約哥倫比亞大學教授阿沙?阿比利奧說:“這是胚胎干細胞歷史上的一項讓人激動的成果。研究成果非常可信。”
***能否用于人類還未知
干細胞是未分化的原始細胞,通常分為三類,即全能干細胞、多能干細胞和專能干細胞。其中,全能干細胞主要就是胚胎干細胞。如果與克隆技術相結合,胚胎干細胞便可發展成遺傳特征與病人完全吻合的細胞、組織或器官,以前器官移植治療方法中經常出現的排異反應問題因此得到了徹底解決,血細胞、腦細胞、骨骼和內臟等都將可以更換,白血病、帕金森氏癥、心臟病等頑疾也有望得到有效治療與治愈。
但一直以來,如果想要獲得人類胚胎干細胞,就必須損壞人類胚胎,這一點頗受非議。科學界一直希望找到一種方法,能夠不損壞胚胎提取干細胞或者找到胚胎干細胞的替代品,這次的實驗就是一個有益的嘗試。如果在人類身上也能取得成功,那么長期以來圍繞這一問題的倫理爭論和醫學政策就將不存在了。
美國天主教主教會議的德夫林格表示:“這正是我們希望人們去探索的領域,它能在不引起任何道德問題的情況下獲得胚胎干細胞帶來的所有好處。我很受鼓舞。”不過,參與研究的哈佛干細胞研究所的康拉德?霍切林格說,他們的工作不是為了避開倫理問題,而是為了試驗細胞基因重排技術。
不管怎樣,研究者接下來的最大挑戰就是如何把這一技術應用在人類身上。約翰-霍普金斯大學的吉爾哈特教授警告說,以實驗鼠為對象的iPS細胞技術將來如果應用到人身上,可能會誘發癌癥,因此必須找到一種可行的辦法解決這一潛在障礙。“我們還有很長的路要走。”(康娟)
***相關鏈接:胚胎干細胞的倫理爭論
胚胎干細胞研究引發了最為激烈而敏感的倫理之爭,主要集中在兩個問題上。
第一,如何看待胚胎。胚胎干細胞主要有三個來源:(1)(自然和人工)流產的胚胎;(2)輔助生殖剩余的胚胎;(3)通過體細胞核轉移術得到的胚胎。不管哪一個來源,依靠過去的技術,提取胚胎干細胞必定會損毀胚胎。于是,胚胎是不是生命,是不是人,研究胚胎干細胞是不是“毀滅生命”,自然成為爭論的焦點。
第二,生殖性克隆是否真的可以避免。自2001年起,關于禁止人的生殖性克隆國際公約的議題在聯合國大會上連續討論了4年,卻一直也沒有達成一致意見。雖然世界各國都表示反對生殖性克隆,但包括美國在內的一部分國家認為治療性克隆必然走向生殖性克隆,主張二者同時禁止,而包括中國在內的其它國家則支持治療性克隆。
(康娟整理)
(編輯:夏亞)